Dixon and Dixon
Dixon & Dixon
Dixon and Dixon
Dixon & Dixon
Request an Appointment
Like us on Facebook
Visit us on Yelp
Leave a Google Review
(954) 523-8788
1027 SE 17th Street Ft. Lauderdale, Florida 33316
General Dentistry
Home
About
Our Team
Office Pictures
Services
View All
Crowns & Bridges
Dental Bonding in Ft. Lauderdale
Dental Exams and Digital X-Rays in Ft. Lauderdale, FL
Dental Implants
Dentures and Partials
Night Guards, Sports Mouth Guards
Porcelain Veneers in Ft. Lauderdale
Prevention and Treatment of Periodontal (Gum) Disease
Teeth Whitening in Ft. Lauderdale
Tooth-Colored Fillings
Smile Gallery
Testimonials
Patient Info
View Patient Info
Your First Visit
Forms
Financial
FAQs
Contact
Dixon and Dixon
>
Smile Gallery
>
In-Office Teeth Whitening
In-Office Teeth Whitening
Return to Smile Gallery
Previous
Next
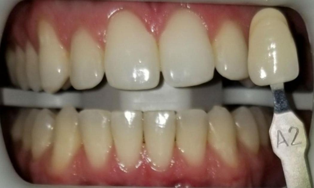
ZOOM! bleaching procedure to whiten stained teeth and give a more youthful appearance.
Related Services:
Teeth Whitening in Ft. Lauderdale
Click image to see a larger picture
Before
After
Ready to book an appointment?
Schedule Now
If you have difficulty using our website, please
email us
or call us at
(954) 523-8788
View the
ADA Accessibility Statement
Turn on ADA Views
Privacy Policy
OK!
×
×
Contact Us Today
Give Us A Call
Dixon and Dixon -
(954) 523-8788
Send Us an Email
Request an Appointment
Contact Us
Ready to Schedule an Appointment?
Book Online
Have Questions? Contact Us:
Required Field
Your Name:
Phone:
Email:
Are you a new patient?:
Are you a?
New Patient
Current Patient
How would you like us to contact you?
Please choose
Email
Call
How did you hear about us?
Please choose
I'm an existing patient
Google/Bing
Mailer
Word of mouth
Social media
Other
Who Referred You?:
Appointment Preferences
Monday
Tuesday
Wednesday
Thursday
Friday
Your Message:
This site is protected by reCAPTCHA and the Google
Privacy Policy
and
Terms of Service
apply.
Sending...
×
This Patient's Experience
Loading Testimonial...
Loading Case...